хотите узнавать новости самыми первыми?
Впишите свой почтовый адрес и мы будем высылать вам новости в числе самых первых
Почему программисты выгорают быстрее других Почему в IT выгорают быстрее, чем в других профессиях: постоянная гонка технологий, давление…
Как программисты сами себя переоценивают? Как программисты часто переоценивают свои навыки, почему это происходит и чем это вредит…
Фреймворки меняются каждый год: стоит ли за ними гнаться? Фреймворки появляются и исчезают быстрее, чем успевают выйти курсы…
Почему 90% pet-проектов умирают? Почему большинство pet-проектов быстро затухает: главные причины, типичные ошибки и понятный план, как…
Меня немного триггерит, когда современные нейросети называют искусственным интеллектом. Больше этого бесят только комментарии под очевидно…
Укрепление научно-технологических инноваций в ходе 15-й пятилетки открывает новые возможности для китайско-российского сотрудничества »…
Долгое время сознание считалось исключительным даром человека, а возможно — еще нескольких видов млекопитающих. Но что, если способность…
Статья Романа Шейнбергера «Новейший луддизм» – как противостоять ! Не будем снобами и сначала напомним уважаемому читателю, кто…
Такой вывод можно сделать из сенсационного исследования специалистов Университета Мэриленда и компании Microsoft. Но с некоторыми…
Исследователи из Microsoft, ETH Zurich и Калифорнийского университета представили HAGeo, это новый решатель задач по евклидовой геометрии,…
Взяли 6 топовых моделей (GPT-5, Gemini, Claude, Grok-4, Kimi, Magistral) и устроили им имитацию выборов в 8 странах:…
Друзья, всем доброго дня! Так как я всегда нахожусь в процессе изучения редких и интересных материалов по природосообразному…
По доле рынка компания уступает только Samsung и SK Hynix, которые также все больше отказываются от потребительского сегмента.…
Когда-то мы смеялись над корявостью и глупостью первых языковых моделей. Сегодня чат-боты пишут за людей деловые письма и…
Эмоции же, есть психические и химические реакции на возможное будущее, либо настоящее изменение гомеостаза. Я должен быть готов…
Блогер решил проверить, можно ли заставить гуманоидного робота нарушить первый закон Азимова — тот самый, где машине запрещено…
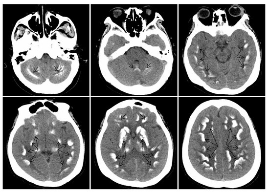
Американские исследователи выяснили, что соотношение мышц и скрытого жира на животе связано со старением мозга. Оказалось, что более…
Казалось бы, лимитированные компоненты, особенно с крайне высоким ценником, должны быть лишены каких-либо недостатков и проблем, но это…
Автор курса: Захаров Антон Михайлович — физиолог, популяризатор науки и учитель биологии .Темы уроков.1. Гомеостаз.2. Как устроен нейрон.3….
Запуск мобильного семейства Intel Panther Lake не за горами, в связи с чем сегодня мы можем посмотреть на…
Старение – это естественный физиологический процесс, которому подвержен каждый человек. С возрастом меняется множество функций организма, и…
Недостаток памяти затрагивает не только простых пользователей, наблюдающих за стремительным ростом стоимости оперативной памяти и…
Покадровая съемка из лаборатории доктора Renaud Renault (Институт Кюри) показывает, как нейроны формируют сети друг с другом. Их…
Среди большого количества неприятных новостей о нарастающем дефиците микросхем памяти DRAM и NAND приятно видеть хотя бы малейший…
Всего за 199,99 ₽
Проверка по 120+ параметрам
Перспективы бизнеса — по цене чашки латте ☕

Впишите свой почтовый адрес и мы будем высылать вам новости в числе самых первых