Вероятно, вы уже заражены вирусом, пожирающим мозг, о котором вы никогда не слышали.
Ранее считалось, что смертельная инфекция головного мозга вызвана глубоким подавлением иммунитета. Но теперь это не так.
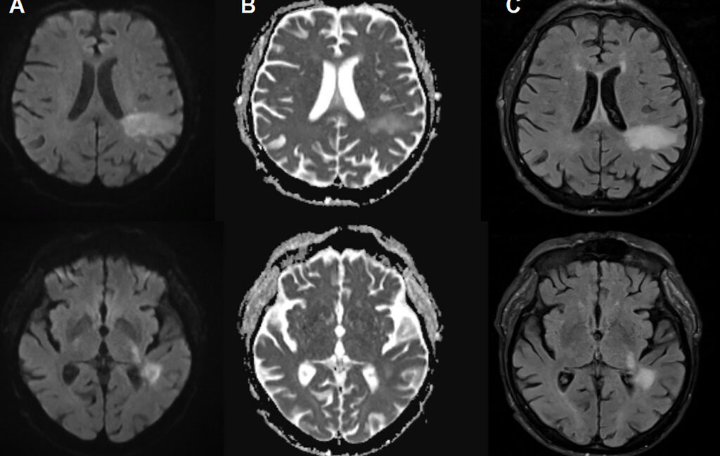
МРТ очагов прогрессирующей мультифокальной лейкоэнцефалопатии (ПМЛ) у пациента с хроническим заболеванием почек. Источник : Annals of Internal Medicine: Clinical Cases, 2026 .Текст рассказа Размер Маленький Стандартный Большой Ширина * Стандартный Широкий Ссылки Стандартный Оранжевый * Только для подписчиков
Узнать больше Свернуть в навигацию
Существует вирус, о котором вы, возможно, никогда раньше не слышали, который, по оценкам, поражает до 90 процентов людей и незаметно скрывается в ваших клетках на протяжении всей жизни, но если он активируется, то разрушит ваш мозг. И если этого недостаточно, исследователи на этой неделе сообщили о возможном новом способе активации этого вируса, который поражает до 10 процентов взрослого населения во всем мире.
Вирус — это полиомавирус человека 2, обычно называемый вирусом JC или вирусом Джона Каннингема, названный в честь несчастного пациента, от которого он был впервые выделен в 1971 году. Он обнаруживается в моче и кале инфицированных людей и распространяется фекально-оральным путем. Считается, что многие люди заражаются в раннем возрасте, а исследования крови показали, что 50–90 процентов взрослых подвергались воздействию вируса в какой-то момент жизни.
Исследователи предполагают, что первоначальным местом инфицирования являются миндалины или, возможно, желудочно-кишечный тракт. Но где бы это ни произошло, первоначальное инфицирование протекает бессимптомно. На этом этапе человек заражается так называемым архетипным вирусом JC, который незаметно вызывает стойкую, но совершенно бесшумную инфекцию на протяжении всей жизни.
Для подавляющего большинства людей инфекция, вызванная вирусом JC, будет протекать бессимптомно. Но для немногих несчастных вирус JC, по-видимому, пробудится, перестроит свой генетический материал и превратится в разрушительный для мозга кошмар, вызывающий заболевание, называемое прогрессирующей мультифокальной лейкоэнцефалопатией (ПМЛ).
Разрушительная болезнь
При прогрессирующей мультифокальной лейкоэнцефалопатии (ПМЛ) новый вирус, вызывающий заболевание, или «ПМЛ-тип» вирус JC, активно проникает в мозг, разрушая определенные клетки мозга, включая клетки, образующие изолирующие миелиновые оболочки, защищающие нервные клетки. Это приводит к обширной демиелинизации, что вызывает дисфункцию и гибель нервных клеток. На снимках ПМЛ может проявляться в виде характерных очагов поражения в головном мозге. Эти очаги, выявленные при визуализации, в сочетании с результатами анализа ДНК вируса JC в спинномозговой жидкости, являются основанием для диагностики ПМЛ. Однако у пациентов с ПМЛ симптомы могут имитировать все, от инсульта до рассеянного склероза, вызывая такие проблемы, как нарушения речи, дефекты зрения, двигательные нарушения и судороги.
Прогрессирующая мультифокальная лейкоэнцефалопатия (ПМЛ) была впервые выявлена в 1958 году у онкологического больного. Однако до 1980-х годов она считалась крайне редким заболеванием, пока не начала встречаться у пациентов с ВИЧ/СПИДом. Фактически, ПМЛ стала определяющим заболеванием СПИДа: на ранней стадии эпидемии ею заболевали 2–5% ВИЧ-инфицированных пациентов. На тот момент это заболевание неизменно считалось смертельным. Но с внедрением высокоактивной антиретровирусной терапии (ВААРТ) в 1996 году число случаев ПМЛ сократилось, и болезнь перестала быть смертным приговором, хотя у выживших часто остаются значительные необратимые последствия.
Расширение числа дел
За десятилетия, прошедшие с момента открытия, прогрессирующая мультифокальная лейкоэнцефалопатия (ПМЛ) повсеместно считалась заболеванием, поражающим людей на фоне глубокого подавления иммунитета. Считается, что вирус JC может активироваться и перестраиваться в тип ПМЛ только при отсутствии нормального иммунного надзора. А восстановление иммунного ответа — например, с помощью высокоактивной антиретровирусной терапии (ВААРТ) у ВИЧ-инфицированных пациентов — может предотвратить или остановить ПМЛ. Помимо некоторых видов рака и ВИЧ/СПИДа, ПМЛ иногда встречается у людей, принимающих относительно новые, мощные иммунодепрессанты, которые они могут принимать при рассеянном склерозе или некоторых аутоиммунных заболеваниях. В целом, однако, по оценкам, случаи ПМЛ во всем мире встречаются лишь примерно у 2 из 100 000 человек.
Однако в новом исследовании, опубликованном на этой неделе в журнале Annals of Internal Medicine Case studies, исследователи из Нью-Йорка описывают случай прогрессирующей мультифокальной лейкоэнцефалопатии (ПМЛ) у пациента без выраженного подавления иммунитета. Вместо этого у пациента было хроническое заболевание почек (ХБП) — состояние, которое поражает около 10 процентов взрослого населения во всем мире. ХБП может приводить к накоплению токсинов в крови, которые ослабляют иммунные клетки, вызывают хроническое воспаление и снижают эффективность противовирусного контроля, отмечают они.
У их 72-летнего пациента была ХБП 5-й стадии, что, по сути, означает почечную недостаточность. Однако в больницу он попал из-за неврологических проблем. В течение недели до этого он испытывал трудности с подбором слов, часто был дезориентирован и в целом слаб. Врачи в больнице подтвердили наличие у него проблем с речью и начали проводить обследования.
Первоначально врачи предположили, что его неврологические проблемы вызваны уремической энцефалопатией — снижением функций головного мозга вследствие накопления токсинов при почечной недостаточности. Его лечили диализом, но трудности с подбором слов только усугубились. В этот момент провели нейровизуализацию, которая выявила поражения, характерные для прогрессирующей мультифокальной лейкоэнцефалопатии (ПМЛ). Вскоре анализ спинномозговой жидкости подтвердил наличие вируса JC в центральной нервной системе. Два дня спустя пациент скончался.
Авторы отмечают, что, хотя научная литература пока немногочисленна, в ней упоминается по крайней мере несколько других случаев прогрессирующей мультифокальной лейкоэнцефалопатии (ПМЛ) у пациентов с хронической болезнью почек (ХБП). В целом, они приходят к выводу, что «ХБП пополняет расширяющийся спектр состояний, предрасполагающих к ПМЛ вследствие неканонической иммуносупрессии. Поскольку распространенность ХБП во всем мире растет, крайне важно проявлять повышенную бдительность в отношении этого разрушительного осложнения».
Источник: arstechnica.com


Добавить комментарий
Для отправки комментария вам необходимо авторизоваться.