хотите узнавать новости самыми первыми?
Впишите свой почтовый адрес и мы будем высылать вам новости в числе самых первых
Что происходит с программистом после 5 лет в профессии? Первые пять лет в разработке меняют всё: от мышления…
Как выглядит обычный рабочий день программиста без розовых фильтров Рабочий день программиста — это не только код и…
Айтишники и деньги: почему высокая зарплата не решает всех проблем Высокие зарплаты в IT давно стали легендой. Но…
Почему бросают перспективные языки и возвращаются к старым? Почему разработчики, попробовав «языки будущего», со временем возвращаются к…
Иногда при создании компактной системы можно столкнуться с проблемой, заключающейся в неудобном расположении разъёма питания у блока…
Токийская полиция задержала 17-летнего школьника из Осаки, которого подозревают в крупной кибератаке на сеть интернет-кафе Kaikatsu Club….
Не только GIGABYTE радует нас выпуском новой материнской платы в белом исполнении, но и ASUS оказалась не против…
Албания внедрила «виртуального чиновника» для принятия решений по госзакупкам в сентябре 2025 года. Новости о том, что албанский…
Подразделение ZOTAC, занимающееся обработкой гарантийных случаев, недавно показало себя не с лучшей стороны, о чём сообщил простой владелец…
По словам моих источников, в перечень, подготовленный мессенджером, попали около сотни россиян, которых алгоритмы мессенджера посчитали…
Вы годами работаете над сайтом, но он застрял на второй странице? Тратите бюджет на ссылки, а отдачи ноль?…
В прошлой статье я описывал свой эксперимент по возможностям маленьких LLM. Эта статья идет как продолжение, в которой…
Наткнулся на классный проект (https://www.youtube.com/@PiSugarStudio/videos), самосборного терминала на Raspberry Pi, который спокойно…
Основная идея: постаналитическая философия в рортианском духе предлагает отказаться от войны между аналитической «точностью» и…
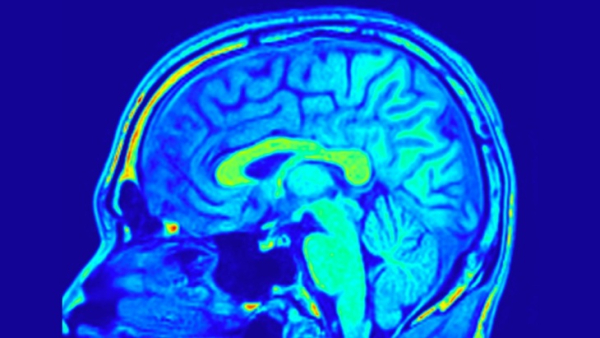
В общественном сознании прочно укоренилась метафора, сравнивающая человеческий мозг с компьютером. Несмотря на свою дидактическую…
Валентин Катасонов: Гигантская утечка данных Aadhaar развеяла миф о надежности «биометрического стража» Цифровизация стала глобальным…
В последний год любой, кто следит за развитием моделей с открытыми весами знает — Китай недостижим. Qwen и…
Определения бывают двух видов. Иногда можно определить что-то как подмножество: «Наполеон» это такой торт (и уточнения), дирижабль это…
Эксперты взвешивают, представляют ли технологии угрозу для критического мышления, указывая на предостерегающие истории в использовании…
Security Week 2548: (https://kas.pr/i36h) Команда Kaspersky GReAT обнаружила новый ботнет Tsundere, который использует необычную технику —…
В последнее время много думаю про то, каким будет образование в эпоху ИИ. И чем больше думаю, тем…
На текущий момент модули оперативной памяти стоят приличных денег, особенно если говорить про очень большие объёмы, которые можно…
Два мира агентной разработки Я использовал разные инструменты для агентной разработки (многие называют это вайб-кодингом). Каждый подход…
К сожалению, владельцы игровых видеокарт NVIDIA GeForce GTX 900 и GTX 1000 более не будут получать обновления графических…
Всего за 199,99 ₽
Проверка по 120+ параметрам
Перспективы бизнеса — по цене чашки латте ☕

Впишите свой почтовый адрес и мы будем высылать вам новости в числе самых первых