Публикация издания Knowable Magazine.
Наш организм — мозаика.
Ваше существование началось со встречи яйцеклетки и сперматозоида, когда ДНК ваших биологических родителей объединились. Ваша первая клетка начала копировать новый геном и делиться для формирования тела.
И почти сразу стали накапливаться генетические ошибки.
«Процесс накопления ошибок в геноме продолжается всю жизнь», — поясняет Фил Джонс, биолог из Института Сенгера в Хинкстоне, Англия.
Ученые давно знали, что системы копирования ДНК иногда дают сбои (именно так часто начинается рак), но лишь в последние годы технологии стали достаточно точными, чтобы зафиксировать каждую генетическую ошибку. Анализ показал, что наш геном содержит множество таких отклонений. Каждый человек представляет собой огромную мозаику клеток, которые в основном идентичны, но в той или иной степени отличаются друг от друга.
Геномы клеток могут различаться единственной генетической буквой в одном месте и более крупным потерянным фрагментом хромосомы — в другом. Когда мы достигаем среднего возраста, каждая клетка тела, вероятно, уже содержит около тысячи генетических опечаток, считает Майкл Лодато, молекулярный биолог из Медицинской школы Массачусетского университета в Вустере.
Хотя процесс копирования ДНК отличается высокой точностью, и механизмы ее восстановления работают эффективно, мутации неизбежно накапливаются во всех типах клеток — в крови, коже или мозге. Учитывая, что взрослый организм состоит примерно из 30 триллионов клеток, при этом каждую секунду делится около 4 миллионов из них, даже редкие ошибки со временем суммируются. В клетках-предшественниках яйцеклеток и сперматозоидов таких «опечаток» значительно меньше: организм прилагает больше усилий для защиты репродуктивных тканей от мутаций, чтобы передать потомству нетронутую ДНК.
«Чудо, что все мы еще неплохо держимся», — отмечает Джонс.

Даже если клетки с мутациями начинают доминировать в ткани, это не всегда приводит к болезни. Мутации, сопутствующие росту клеток-клонов, действительно могут вызывать рак, но могут оказаться и безвредными — или даже полезными, помогая ткани сохранять свою структуру и не провоцируя рак.
Пока ученые находятся на самых ранних этапах в поиске причин и последствий этих мутаций. Национальные институты здравоохранения США инвестируют 140 миллионов долларов в их систематизацию, в дополнение к десяткам миллионов, выделяемым Национальным институтом психического здоровья на изучение мутаций в мозге. Хотя многие изменения, вероятно, безвредны, некоторые могут влиять на развитие рака и неврологических заболеваний. Что еще важнее, существует предположение, что накопленные за жизнь случайные геномные ошибки могут лежать в основе самого процесса старения.
«Мы знаем об этом явлении всего несколько лет — как будто обнаружили новый материк, — говорит Джонс. — Нам только предстоит выяснить, что всё это значит».
Первые подозрения
Уже в 1950-е годы, когда была открыта структура ДНК, исследователи стали предполагать, что генетические «опечатки» и другие мутации, накапливающиеся в соматических (не репродуктивных) тканях, могут объяснять природу заболеваний и старения.
К 1970-м годам ученые установили: рак возникает, когда мутации заставляют некоторые клетки бесконтрольно расти.
«Считалось, что такое случается очень и очень редко», — поясняет Ян Вейг, генетик из Медицинского колледжа Альберта Эйнштейна в Нью-Йорке.
Однако обнаружить и изучить эти мутации было чрезвычайно сложно. Стандартные методы секвенирования (определения последовательности) ДНК позволяли анализировать только большие объемы генетического материала, выявляя лишь наиболее распространенные варианты. Редкие мутации оставались незамеченными. Ситуация начала меняться приблизительно в 2008 году, как сообщает Сиддхартха Джайсвал — биолог стволовых клеток из Стэнфордского университета в Калифорнии. Новые методы обладают такой высокой чувствительностью, что могут выявлять мутации, присутствующие в ничтожно малой доле клеток — даже в одной единственной из них.
В начале 2010-х Джайсвал исследовал, как мутации накапливаются в крови до появления рака. Проанализировав образцы более 17 тысяч человек, вместе с коллегами он подтвердил гипотезу: мутации, способные вызывать рак, редко встречались у людей младше 40 лет, но с возрастом их частота возрастала. После 70 лет такие мутации обнаруживались как минимум в 10% клеток крови.
В то же время ученые обнаружили, что мутировавшие клетки часто были генетически идентичны — они представляли собой клоны. Как полагает Джайсвал, это происходит, потому что одна из тысяч стволовых клеток крови приобретает мутации, которые делают ее чуть более эффективной в росте и делении. На протяжении десятилетий она постепенно вытесняет нормально растущие стволовые клетки, образуя большую группу генетически схожих клеток.
Неудивительно, что ученые увидели взаимосвязь между быстрым делением среди клонов мутировавших кровяных клеток и риском развития рака крови. Более того, такие клетки могли бы приводить к повышенному риску сердечных заболеваний, инсульта и в целом, смерти, так как они способствуют воспалению. Неожиданностью стала обратная корреляция с болезнью Альцгеймера: относительный риск снижался на треть. Джайсвал выступал соавтором статьи о влиянии клонов кровяных клеток на здоровье в журнале Annual Review of Medicine за 2023 год. Он предполагает, что некоторые клоны могут эффективнее проникать в ткани мозга или очищать их от токсичных белков.
Пока Джайсвал и его коллеги работали с клонами клеток крови, о которых они сообщили в 2014 году, исследователи из Института Сэнгера приступили к изучению соматических мутаций в других тканях, начав с кожи глазных век. С возрастом у некоторых людей происходит опущение век, и они делают пластическую операцию по удалению избыточной кожи. Ученые взяли образцы этой кожи у четырех пациентов и вырезали кружки диаметром 1–2 миллиметра для генетического секвенирования. «Результаты нас шокировали», — признается генетик Иниго Мартинкорена. Несмотря на то, что у пациентов не было рака кожи, их кожные покровы содержали тысячи клонов, причем от 20% до 30% клеток имели мутации, связанные с онкологическими заболеваниями.
Такое количество мутировавших клеток у людей без рака кожи стали сенсацией. «Это ошеломило меня», — признается не участвовавший в исследовании Джеймс ДеГрегори, биолог-онколог из Медицинского кампуса Университета Колорадо в Авроре.
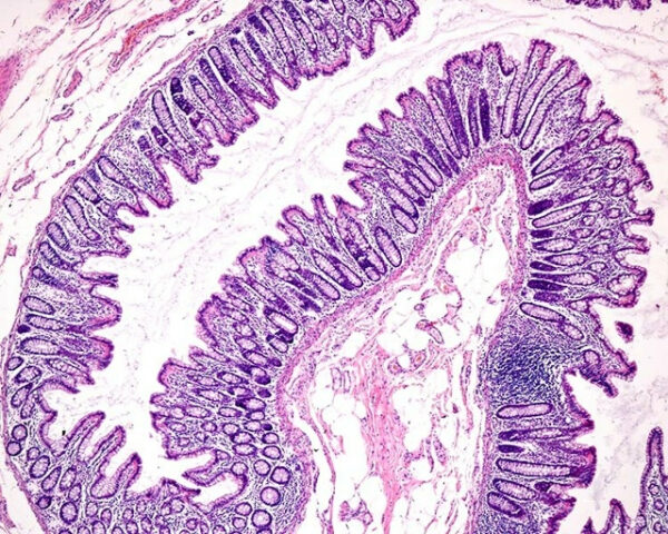
Исследователи из Института Сэнгера продолжили работу и выявили скопления идентичных мутировавших клеток в других тканях — пищеводе, мочевом пузыре и толстой кишке. Например, они изучили кишечные крипты — углубления в стенке кишечника. У каждого человека около 10 миллионов таких крипт, в каждой из которых находится примерно 2000 клеток, и все они происходят из небольшой группы стволовых клеток конкретной крипты. При анализе более 2000 крипт, взятых у 42 пациентов в возрасте 50 лет, ученые обнаружили сотни генетических вариаций.
Порядка 1% обычных крипт у людей этого возраста содержали онкогенные мутации. Некоторые из этих мутаций способны подавлять размножение соседних клеток, что позволяет мутировавшим клеткам быстрее захватывать всю крипту. Этого недостаточно для развития рака толстой кишки, но в редких случаях клетки могут приобретать дополнительные онкогенные мутации, преодолевать границы крипты и вызывать злокачественные образования.

Толстая кишка изнутри покрыта многочисленными криптами («карманами»), содержащими клетки, которые происходят из локальных стволовых клеток. Эта особенность делает толстую кишку удобной моделью для изучения развития мутировавших клеточных клонов. Источник: Josluis / stock adobe.com
«Где бы мы ни искали эти соматические мутации, в любом органе, — мы их находим», — говорит Джонс. Он стал воспринимать тело как некое поле эволюционной битвы. По мере накопления мутаций клетки могут приобретать большую (или меньшую) способность к росту и делению. Со временем некоторые клетки начинают преобладать над другими, образуя крупные клоны.
«И всё же, — отмечает ДеГрегори, — мы не покрываемся опухолями». Он предполагает, что должны существовать механизмы, которые предотвращают трансформацию клонов в раковые клетки. Действительно, как пишут Джонс и его соавтор в издании Annual Review of Cancer Biology за 2023 год, у мышей наблюдались случаи, когда чрезмерно увеличившиеся мутировавшие клоны возвращались к нормальному росту.
Джонс и его коллеги обнаружили пример защиты от появления раковых клеток в пищеводе человека. К среднему возрасту многие клоны клеток пищевода (часто составляющие основную часть его ткани) приобретают мутации, нарушающие ген NOTCH1. Это не влияет на способность пищевода продвигать пищу, но, как оказалось, раковым клеткам для роста NOTCH1 необходим. В клетках пищевода могут накапливаться опасные мутации, однако при отсутствии данного гена они реже превращаются в опухоли.
Получается, что не все мутации в клетках нашего организма плохие или нейтральные — некоторые даже полезны. И, к счастью, такие изменения к лучшему встречаются чаще.

С возрастом клоны мутировавших клеток увеличиваются. На изображении каждый фрагмент соответствует одному квадратному сантиметру ткани пищевода. Сверху — самый молодой участник, который умеренно курит. Следующие два — некурящие. Размер и цвет кругов обозначают клоны с мутациями в конкретных генах (см. легенду вверху). Некоторые клоны содержат несколько мутаций — они показаны пересекающимися кругами. Мутации в одних генах (например, TP53, оранжевый) способствуют развитию рака, а в других (например, NOTCH1, фиолетовый) — подавляют его.
Внутри мозга
«Наша система копирования ДНК часто допускает ошибки в клетках пищевода, толстой кишки и крови, так как они постоянно делятся. Однако нейроны головного мозга прекращают деление еще до или вскоре после рождения, поэтому первоначально ученые считали их генетически неизменными», — поясняет Кристофер Уолш, нейрогенетик из Бостонской детской больницы.
Однако появились предположения, что мутации, накапливающиеся в течение жизни, могут вызывать проблемы в мозге. Еще в 2004 году исследователи сообщили о пациенте с болезнью Альцгеймера, которую вызвала мутация, обнаруженная лишь в некоторых мозговых клетках. Это была новая мутация, не унаследованная от родителей.
В 2012 году группа Уолша опубликовала анализ ткани, которая была удалена во время операции по коррекции патологического разрастания мозга, что вызывало судороги. В трех из восьми образцов обнаружились мутации в гене, регулирующем размер мозга. И эти мутации не были найдены в крови, а значит, они возникли лишь в определенных участках организма.
Как говорит Лодато, существует несколько механизмов возникновения мутаций в нейронах. Изменения могут появляться на ранних стадиях развития, когда мозг еще формируется, а его клетки продолжают делиться. Либо в зрелых клетках мозга происходит повреждение ДНК без дальнейшего полного восстановления.
К 2012 году интерес к приобретенным мутациям в мозге стал возрастать. Томас Инсел, на тот момент директор Национального института психического здоровья, выдвинул предположение, что подобные мутации могут лежать в основе многих психических расстройств. Соматические мутации в мозге могли бы объяснить давнюю загадку неврологических заболеваний: почему однояйцевые близнецы часто не разделяют между собой психиатрические диагнозы (например, если у одного близнеца развивается шизофрения, у второго вероятность ее возникновения составляет лишь около 50%).
Мозаицизм дает «очень убедительное объяснение», как говорит Майк Макконнел — научный директор Фонда Леннокса-Гасто в Сан-Диего. Это некоммерческая организация, которая занимается поддержкой семей и исследованием тяжелой формы эпилепсии.
В начале 2010-х Макконелл, Уолш, Лодато и другие ученые приступили к каталогизации как масштабных, так и мелких мутаций, обнаруженных в мозге умерших людей. Они зафиксировали делеции и дупликации отдельных генов, групп генов или целых хромосом, нашли хромосомные сегменты, переместившиеся в новые участки генома. В итоге Уолш, Лодато и их коллеги установили, что к 50 годам каждый нейрон человека содержит тысячу и более точечных мутаций в ДНК. «Это казалось совершенно невероятным, — вспоминает Уолш. — Мы не верили самим себе».
Впечатленные такими результатами, исследователи продолжили работу. Они проанализировали 159 нейронов 15 человек, умерших в возрасте от четырех месяцев до 82 лет. Данные показали, что количество мутаций увеличивалось с возрастом, что говорит о накоплении ошибок с течением времени, как и в других частях организма. «Мозг — поразительная в своем роде мозаика», — отмечает Лодато.
Для дальнейшего изучения мозаицизма Национальный институт психического здоровья с 2015 по 2019 год финансировал серию исследований. Ученые анализировали мозаичные изменения в образцах мозговой ткани, в основном полученных посмертно из биобанков. В проекте использовались материалы более чем 1000 человек — как с типичным неврологическим развитием, так и с такими состояниями, как синдром Туретта и расстройства аутистического спектра.
«Наиболее распространёнными оказались мутации отдельных нуклеотидов», — сообщает Макконнелл, один из руководителей проекта. Исследователи собрали более 400 терабайт данных ДНК-последовательностей, разработали аналитические инструменты и создали мощную базу для будущих исследований мозгового мозаицизма. Эти и другие работы позволили ученым установить связь между мозаичными мутациями в мозге с неврологическими заболеваниями, включая аутизм, эпилепсию и шизофрению.
В лаборатории Лодато аспиранты Сезар Батиста Сотело и Сушмита Наяк изучают, как накопленные мутации могут вызывать боковой амиотрофический склероз (БАС) — прогрессирующее отклонение, также известное как болезнь Лу Герига. Генетикам удается выявить известные мутации лишь в 10% случаев ненаследственного склероза. Однако новые данные о мозаицизме свидетельствуют: у гораздо большего числа людей могут присутствовать мутации генов БАС исключительно в головном или спинном мозге, даже если в других тканях они отсутствуют.
Это важно, поскольку ученые разрабатывают разновидности терапии, направленные на более чем 40 генов, мутации в которых вызывают БАС. В 2023 году Управление по санитарному надзору за качеством пищевых продуктов и медикаментов в США одобрило первый подобный препарат, подавляющий активность одного из наиболее часто мутирующих генов БАС. Однако для получения такого лечения пациентам необходимо знать, какие именно мутации присутствуют в их организме.
«Поэтому, — как отмечает Наяк, — мы настоятельно призываем изменить текущую практику диагностики БАС». Вместо анализа ДНК только в образцах крови следует также исследовать другие ткани — слюну, волосы или кожу. Это позволит выявить мутации БАС, которые возникли на этапе эмбрионального развития в клетках-предшественниках, сформировавших различные ткани организма, но не давших начало клеткам крови.
Разгадка механизмов старения
Пока медицинские последствия мозаицизма остаются слишком неопределенными, чтобы предпринимать действия — особенно в случаях, подобных клонам крови, для которых не существует специального лечения. «Мы не призываем людей начать беспокоиться об этом, — поясняет Джайсвал. — На данном этапе нет оснований проводить тестирование здоровых людей».
И всё же многие ученые считают эти открытия подтверждением давней теории: накопление мутаций на протяжении жизни ведет к неизбежному процессу, который мы называем старением.
Мартинкорена и его коллеги проверили эту гипотезу в исследовании 2022 года. Они предположили: если мутации действительно ускоряют старение, то короткоживущие виды, например, мыши, должны быстро накапливать их; а долгоживущие, например, люди, — медленнее, благодаря более эффективным механизмам восстановления ДНК.
Чтобы проверить эту гипотезу, ученые погрузились в пятилетнее исследование, изучив образцы кишечных крипт восьми людей и множества животных: 19 лабораторных мышей и крыс; 15 домашних животных, включая кошек, собак, коров и кроликов; и 14 более экзотических существ, среди которых были тигры, лемуры, морская свинья и четыре голых землекопа, известных своей необычно долгой для грызунов продолжительностью жизни — более 30 лет. Как и предполагалось, чем дольше жил вид, тем медленнее в его клетках накапливались мутации.

Исследователи проанализировали кишечные крипты различных видов и установили, что у долгоживущих видов мутации накапливаются медленнее. Это согласуется с давней теорией о связи соматических мутаций со старением.
«Это не доказывает, что соматические мутации вызывают старение, но говорит о возможности их участия в этом процессе», — поясняет Мартинкорена. Здесь действуют два взаимосвязанных фактора: накопление мутаций способствует сокращению продолжительности жизни, в то же время короткая продолжительность жизни снижает значимость защиты от мутаций. Поэтому короткоживущие виды меньше вкладываются в механизмы восстановления ДНК.
Перспектива влияния мутаций на старение выглядит заманчиво, поскольку предполагает, что устранение мутаций может стать «генетическим источником молодости». «Если завтра я найду способ остановить накопление этих мутаций, думаю, стану мультимиллиардером», — отмечает Батиста Сотело. Уже сейчас биотех-стартап Matter Bio в Нью-Йорке привлекает финансирование для разработки методов восстановления человеческого генома. (Применимость такого подхода к массам клеток остается под вопросом: «Не думаю, что можно полностью избавиться от мутаций», — утверждает ДеГрегори.)
Исследования соматических мутаций далеки от завершения. «Судя по текущим открытиям, мы только в начале пути, — заключает Мартинкорена. — В ближайшие годы нас ожидает множество сюрпризов».
Первоисточник: Knowable Magazine
Автор: Эмбер Дэнс
Перевод: Екатерина Лобзева, Newochem Редактировал: Сергей Разумов
Источник: m.vk.com
Источник: ai-news.ru
























